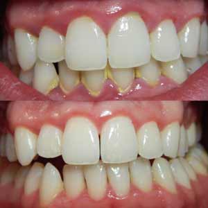
Learn more about #gumdisease and #gingivitis. Don’t wait to get help and visit us for regular dental cleaning, deep cleaning and scaling, or just to get evaluated. In addition to everyday low prices, we offer first time patient cleaning/deep cleaning #dental #specials #LA #DTLA
Los Angeles Dental News
Labor Day History and Labor Day Sales
River Dentistry joins #LaborDaySale tradition with great #LaborDay #dental #specials to make your smile healthier and brighter, too
LA Food and Wine Festival & River Dentistry
River Dentistry welcomes 2015 #LA Food & Wine festival. Come by our office and get a free bag. @lafoodwine #lafw #lafoodwine
How to Find Best Los Angeles Dentist
How to find best #LosAngeles #dentist (or just a really good #dental office). Here’s how! #LA #DTLA #missionimpossible
DTLA, Westin Bonaventure, and River Dentistry Welcome Special Olympics
River Dentistry celebrates #SpecialOlympicsWorldGames athletes & staff with 25% off #dental #deal #LA2015 #ReachUpLA #DTLA #LosAngeles #LA #WestinBonaventure
Holiday Greetings & Fireworks of 4th of July Specials
Happy #4thofJuly from River Dentistry in #Downtown #LosAngeles. We wish you a safe and happy #IndependenceDay. Check out our own fireworks of #dental #whitening #specials in #DTLA
Happy Mothers Day from River Dentistry
Happy #MothersDay to all the great moms of #DTLA and #LosAngeles. Thank you for being so great during your child’s visits to River Dentistry and so gracious when you come to visit us yourself!
Wisdom Tooth Extraction Recovery
Following post wisdom #tooth extraction instructions carefully can mean the difference between speedy, problem-free #recovery and painful complications #LA #DTLA #LosAngeles #dental
Wisdom Tooth Extraction
As any #dental surgery, wisdom tooth removal carries some risk. We’ll give you an overview of what you can expect during your wisdom tooth removal procedure. #LA #LosAngeles
Wisdom Teeth Pain Remedies
River Dentistry’s extensive guide to wisdom teeth pain continues with information on what you can do to get some pain relief when your wisdom teeth are acting up.










