Invisalign Treatment in Los Angeles
Spaced Teeth Treatment
Gaps between teeth can occur with abnormal continued growth of the jawbone. Missing teeth can also cause the surrounding teeth to shift due to the extra space, creating gaps in your teeth. Generaly, a malocclusion with the proper molar relationship can result in teeth that are crowded together, spaced apart, an overbite,
an openbite, a posterior crossbite, or an anterior crossbite. Spacing issues and gaps between teeth can lead to gum problems (due to lack of protection by the teeth), periodontal pockets and increased risk of periodontal disease.
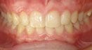
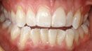
Case: Invisalign for Spaced Teeth
Patient was concerned that his teeth were abnormally spaced and very far apart. His doctor told him that, while this might just seem unattractive, spacing issues in teeth can also cause some periodontal diseases. His Invisalign treatment lasted approximately 10 months.


Before


After
Crowded Teeth Treatment
Teeth crowding occurs when there is simply a lack of room within your jaw for all of your teeth to fit normally. Generaly, a malocclusion with the proper molar relationship can result in teeth that are crowded together, spaced apart, an overbite, an openbite, a posterior crossbite, or an anterior crossbite. When left untreated, overly crowded teeth can get worse over time and result in severely crooked teeth. This crowding can lead to plaque accumulation, tooth decay, and an increased chance of gum disease.
Case: Invisalign for Crowded Teeth
Patient believed there wasn’t enough room within her jaw for all of her teeth to fit normally. Her doctor told her that when left untreated, overly crowded teeth can cause dental decay, and increase in the chances of gum disease, and can prevent the normal function of teeth. She was treated with Invisalign over the course of approximately 10 months.


Before


After
Crossbite Orthodontic Treatment
Crossbite can occur when the upper and lower jaws are both misaligned. Upper posterior (back) teeth are in crossbite if they erupt and function inside or outside of the arch in the lower posterior teeth. Lower anterior (front) teeth are I crossbite if they erupt and function in front of the upper anterior teeth.
A crossbite can be individual teeth or groups of teeth.It causes one or more upper teeth to bite on the inside of the lower teeth, and can happen on both the front and the sides of the mouth. This can cause wear of the teeth, gum disease and bone loss.
Case: Invisalign for Crossbite
Patient was unhappy that her upper and lower jaws seemed to be misaligned. This caused her upper teeth to bite on the inside of her lower teeth, and she could tell it was causing excessive wear. Her doctors told her this issue could also cause gum disease and bone loss. Her Invisalign treatment lasted approximately nine months.


Before


After
Underbite Orthodontic Treatment
Underbite can occur when the lower teeth protrude past the front teeth. Professionally called Class III Malocclusion, underbite is a malocclusion with the lower front teeth protruding or due to the lower teeth and/or jaw positioned ahead relative to the upper teeth and/or jaw. It’s usually caused by undergrowth of the upper jaw, overgrowth of the lower jaw, or both. It can also be caused by missing upper teeth. This can prevent the normal function of front teeth or molars, which can lead to tooth wear. It can also cause painful jaw and joint problems.
Case: Invisalign for Underbite Treatment
Patient was concerned that his lower teeth protruded past the front teeth. To prevent the normal function of front teeth or molars, doctor recommended Invisalign. His Invisalign treatment lasted approximately 12 months.


Before


After
Overbite Orthodontic Treatment
What people commonly refer to as an “overbite” is known to dental professionals as “overjet” or Class II Malocclusion – malocclusion with the upper front teeth protruding or due to the lower teeth and/or jaw positioned back relative to the upper teeth and/or jaw. It occurs when the upper teeth bite over the lower teeth. It’s typically caused by genetics, bad oral habits, or overdevelopment of the bone that supports the teeth. This can lead to gum problems or irritation, and/or wear on the lower teeth, and can cause painful jaw and joint problems.
Case: Invisalign for Overbite Treatment
Patient was concerned that her upper teeth overlapped her lower teeth too much. Not only is this a cosmetic issue, but it can lead to health problems later in life, so she was anxious to get it fixed. She was treated with Invisalign in approximately 20 months.


Before


After
Open Bite Orthodontic Treatment
Open bite often occurs when some teeth are unable to make physical contact with the opposing teeth for a proper bite. Most often caused by a genetic abnormal jaw structure or excessive thumb-sucking, an open bite can cause poor or painful chewing, and even speech impairment. It can also lead to greater issues like thermo-mandibular joint disorder (TMJ).
Case: Invisalign for Open Bite
Patient was concerned that there was a gap between her upper and lower teeth. Not only this was a cosmetic issue, but also caused some biting problems and it could lead to health problems later in life. She was treated with Invisalign in approximately 12 months.


Before


After
To learn more about braces treatment in Los Angeles watch this Invisalign treatment video.
Experienced Invisalign Dentist in Los Angeles
Invisalign treatment in Los Angeles can provide you with a number of benefits and solutions to most common orthodontic problems. Talk to your dentist Dr. Charles Huang to find out how they can best help you get the smile you’ve been dreaming of. From mild cases of crooked teeth and protruding teeth, to much more difficult dental problems involving serious malocclusion, overbite, or underbite, Invisalign effectively corrects a wide variety of dental issues.
Whether your teeth are widely gapped, overly crowded, or somewhere in between, Invisalign has an affordable teeth straightening option for you. Contact our office today to learn more about Invisalign treatment or to schedule an appointment.


